Radno vrijeme: PON - PET 15:00 - 21:00

Djelatnosti i usluge

Dječja stomatologija

 

 

Stručni tim Dental centar Omege uglavnom čine specijalisti dječje i preventivne stomatologije s dugogodišnjim iskustvom u predanom radu s djecom. Mi smo također ijedina privatna specijalistička ordinacija za djecu.

 

Djeca su za nas posebni pacijenti, čije je povjerenje izuzetno teško dobiti, no jednom stvorena spona između Vašeg djeteta i njegovog stomatologa, važna je za cijeli život i zdravlje Vašeg djeteta.

Polažemo veliki napor u privikavanju nekooperativne djece, djece sa izuzetnim strahom od stomatologa, najčešće zbog prijašnjih loših iskustava kod onih stomatologa koji za djecu nemaju vremena ali niti znanja u radu s djecom i često nažalost niti volje. Naime dječja stomatologija i je specijalistička grana upravo zbog kompleksnog pristupa djeci te posebnih metoda rada koje se na odraslim pacijentima ne provode.

S obzirom da je preventiva osnovni pojam u liječenju kod moderne medicine i stomatologije, posebno težište dajemo prevenciji kod djece i odraslih. Sve preparacije zuba radimo prema načelima minimalno-invazivne stomatologije gdje se maksimalno čuva zdravo zubno tkivo. Moderni uređaji za dijagnostiku karijesa (KaVo DIAGNOdent® pen) kao i za preparaciju, omogućuju izradu vrlo malih preparacija na zubu, uz izuzetno visok postotak uspješnosti takve terapije. Koristimo posebne sustave za mikropreparacije tipa Komet®, Sonicflex 2003L®,  i NSK®micro sustave.

 

Pečaćenje fisura trajnih zubi, kao najbolju metodu prevencije karijesa, radimo sa modernim kompozitnim i smolastim materijalima koji omogućuju visoki stupanj prevencije duži niz godina. Naši specijalisti dječje i preventivne stomatologije imaju veliko klinički i znanstveno inskustvo o različitim metodama prevencije karijesa, pečaćenja fisura, ispuna mliječnih i trajnih zubi kao i liječenju dentalnih trauma.

Kod nas se svi mliječni zubi saniraju prema pravilima struke, te se koriste moderni adhezijski i remineralizacijski materijali za nadoknadu zubnih tkiva. Posebnu pažnju pridajemo individualnom psihološkom pristupu djetetu kao pacijentu, tako da se strah i ostali potencijalni problemi uspješno eliminiraju u rano doba djetetovog razvoja.

Pravilna prevencija kod djece kao i kompletno saniranje mliječnih i trajnih zubi dovodi do unaprijeđenja oralnog zdravlja kod djece, kao i prevenciju ortodontskih anomalija. Također, zdravi i sanirani mliječni i trajni zubi omogućuju psihofizički sklad čitavog organizma. Stoga nam prepustite svoje dijete bez straha i s punim povjerenjem a mi ćemo u prijateljskom odnosu s Vašim djetetom, ubrzo ga opravdati.

 

Pečaćenje fisura-najbolji preventivni postupak zaštite od karijesa okluzalne plohe
Analiza zubi KaVo Diagnodent pen uređajem
 
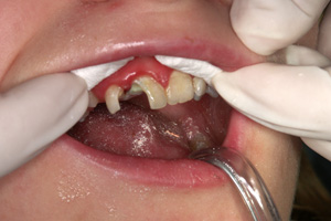
Opšežni karijesi u fronti kod djece
Rekonstrukcija kompozitnim materijalom
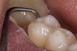
Mikropreparacijski zahvati na trajnim zubima
Mikropreparcijski ispun
Pečaćenje fisura: stanje nakon pečaćenja, materijal je boje zubnog tkiva
Profilaksa karijesa: preventivno čišćenje, poliranje i zaštita antikarijesnim sredstvima
Prevencija i profilaksa karijesa- antikarijesna topikalna sredstva
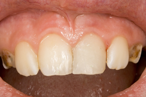
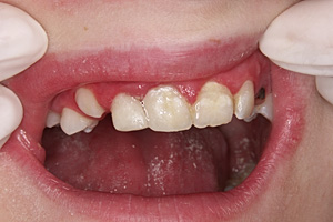
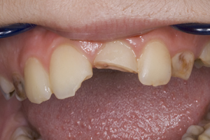
Trauma gornjih sjekutića
Trauma gornjih sjekutića: rekonstrukcija kompozitnim materijalom
Mikropreparacije s oscilirajućim instrumentima
Mikropreparacije s oscilirajućim instrumentima
Mikropreparacija s zračnom abrazijom
Zračna abrazija u izradi mikropreparacijskog kaviteta
Završni izgled mikropreparacijskog ispuna