Radno vrijeme: PON - PET 15:00 - 21:00

Djelatnosti i usluge

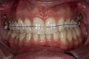
Ortodoncija

 

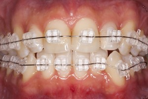
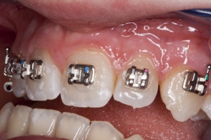
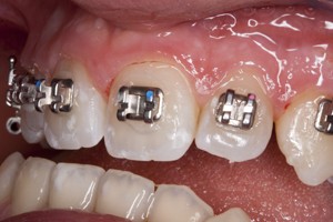
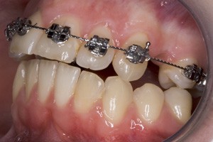
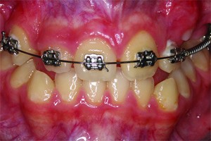
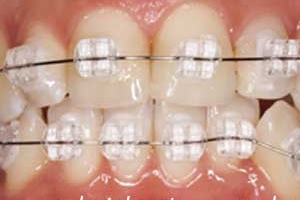
Naš specijalist ortodoncije, s više od 5 godina iskustva u ortodonciji riješava sve ortodontske anomalije zubi uporabom različitih vrsta ortodontskih naprava, mobilnih no najčešće fiksnih. Fiksni ortodonski aparatići danas su sve popularniji te ih u našem centru nose pacijenti od najranije dobi pa sve do odraslih pacijenata, najčešće iz estetskih razloga ali i iz medicinskih (npr. kod parodonititisa). Koristimo samo proizvode Forestadent Njemačka, premium proizvođača ortodonstkih naprava koji u ponudi ima i bijele safirne GLAM bravice koje su gotovo neprimjetne.  Više o tome na linku https://www.forestadent.com/en-en/search/produktdetail/glam/

Budući  tehnologija u dentalnoj medicini rapidno napreduje, postoji mogućnost odabira estetskih bravica, i onih kod kojih terapija kraće traje, ovisno o indikaciji.

Prije postave ortodontskog aparatića važno je sanirati sve zube (izliječiti karijese i parodont zubi) te naučiti održavati besprijekornu higijenu. Ortodontske kontrole provode se svakih 4-6 tjedana tj. Individualno ako je potrebno. Izuzetno je važno imati povjerenja u ortodonta koji vam provodi terapiju jer zube pomiče ortodont a ne aparatići tj. bravice!